Clínica Misericordia abre diálogo sobre inteligencia artificial en Serie de Conferencias Inaugurales
La Clínica Misericordia ha iniciado una serie de conferencias sobre IA, destacando la primera charla centrada en los conceptos fundamentales de esta tecnología. Liderada por la ingeniera Jannerys Ortiz, la conferencia abordó desde el origen [...]
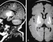
Tumores cerebrales: Un panorama general
Los tumores cerebrales representan un desafío médico complejo y preocupante en la actualidad. Estas neoplasias, que se forman en el tejido cerebral, pueden tener consecuencias graves para la salud y el bienestar de los pacientes. [...]
Inscripciones Neuro-oncology Symposium
INSCRIBIRTÉ ES MUY FÁCIL Misericordia Internacional NEURO ONCOLOGY Symposium Las inscripciones han finalizado, gracias a todos. INVITAN: [...]
Clic de la Ciencia: Seminarios Virtuales
Para Clínica Misericordia Internacional, la docencia e investigación, son pilares fundamentales en su quehacer diario de brindar Salud Con Sentido Humano. Por eso, y en el fortalecimiento de nuestro compromiso con la educación médica continuada, [...]
Tétano generalizado: a propósito de un caso clínico
Ana Marcela Tobías Rodríguez, MD Servicio de Pediatría, La Misericordia Clínica Internacional Introducción: El tétano es una enfermedad aguda causada por una toxina producida por Clostridium tetanii. La enfermedad puede afectar a personas de cualquier [...]
Encefalopatía Hipóxico-Isquémica neonatal
Como Consecuencia de la Asfixia Intraparto Yuly Acuña Torres, MD El término Hipoxia se utiliza para indicar una disminución de la oxigenación a células y órganos, e isquemia, a la situación en la que el [...]
Accidente Cerebro Vascular (ACV): ayúdanos a salvar vidas
Por: Nadin J Abdala Vargas, MD. Es común escuchar historias de personas y familiares que han padecido lo que comúnmente le llaman isquemia y derrame cerebral, en Colombia cada vez son más las personas que [...]
Ephicaz, herramienta tecnológica para optimizar la atención en salud
En La Misericordia Clínica Internacional la innovación es uno de los pilares fundamentales a la hora de marcar la diferencia para ofrecer un servicio de calidad a los usuarios. Por eso, su departamento de Desarrollo [...]
Se realiza primera cirugía de Parkinson con tecnología avanzada
El Centro de Neurociencias de La Misericordia Clínica Internacional realizó con éxito el primer procedimiento de Estimulación Cerebral Profunda con tecnología de avanzada O-Arm y Neuronavegación a una paciente femenina de 67 años de edad [...]
Regalando sonrisas: Celebración día del niño
En el marco del convenio Docencia-Servicio con la Universidad Simón Bolívar y el Plan Bilateral, los estudiantes de los programas de Fisioterapia, Instrumentación Quirúrgica, los Internos de Medicina y la Dirección Científica de la Clínica, [...]











